提示
[X]
回首頁
診所簡介
聯絡我們
相關連結
關於金石牙醫
院長的話
背景及歷史
環境介紹
團隊介紹
2025 Dec. Fri
十二月
5
星期五
診所動態
網站資源免責聲明 ~金石牙醫診所
...
法律顧問 : 鍾永盛 大律師
...
讓使用者如何善用診所資訊,尋找關鍵字
...
訊息快遞
金石牙醫診所公告
...
新冠狀病毒之感染控制~金石牙醫診所
...
金石牙醫診所公告
...
側邊分享
茶葉貯藏期的化學變化 僅供參考
...
金石牙醫診所醫療互動平台~歡迎您,提供您想交流的醫療相關資訊內容。。。
...
點滴分享
8種心理“偷”走你的快樂 僅供參考
...
你會做的第三者嗎? 僅供參考
...
“網戀”心理探究 僅供參考
...
健康諮詢分享
4個時期女性需“戒茶” 僅供參考
...
8種普洱茶功效 僅供參考
...
8種經典美容瘦身茶 僅供參考
...
雷射美白
20100713水雷射移除齒癅
...
20100619四環黴素染色之漂白
...
20100618漂白牙齒 微細研磨
...
資訊分享
牛肉和什麼不能一起吃 僅供參考
...
木瓜牛奶的功效 僅供參考
...
什麼時候吃甜食不長胖 僅供參考
...
整型美容抗衰區
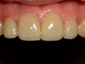
20100901 全瓷牙冠案例~龍霖醫師
2010-09-03
關鍵字:
GO TOP
毛孩子 ㄉ 分享
大邁師父 :道 早安 什麼叫減肥?就是不好好吃飯 什麼叫愛情?就是不好好做朋友 … 2019-08-20
...
一定要聽話! 風雨大別亂跑 人勝不了天喔 乖乖在家 煮水喝茶算葉子 颱風 … 2019-08-08
...
活著美不美,各自都有體會 - 2017-09-14
...
整型美容抗衰區
哪種面部整形術最能使面部綻放迷人光彩? 僅供參考
...
簡單美觀的貼片
...
毛髮移植手術的歷史 僅供參考
...
護牙新知
根尖膿腫 僅供參考
...
別小看牙周疾病 僅供參考
...
牙縫寬或是侵襲性牙周炎 僅供參考
...
除汞
汞中毒病因病理 僅供參考
...
重金屬超標的8大罪魁禍首 僅供參考
...
汞中毒要做哪些檢查 僅供參考
...
矯正新知
戴用橡皮圈的注意事項 僅供參考
...
【美容冠牙齒矯正改善牙縫大】 僅供參考
...
什麼是牙齒矯正? 僅供參考
...
植牙
2011~03~27 微創植牙縮小牙縫 ~ 龍霖 醫師
...
2011~03~12 以鈦網做骨脊保留~ 龍霖醫師
...
植牙術前準備實錄~德軒津牙醫診所~2011-02-16
...
牙周治療
牙周病之假牙製作 2011-10-28 龍 霖 醫師
...
好好的牙齒為什麼會變鬆動?僅供參考
...
牙痛“牙周炎”大柴胡湯合玉女煎 僅供參考
...
瀏灠人次:
金石牙醫診所
All Rights Reserved.
電話:0224225020 傳真:0224228050 地址:201 台灣省基隆市信義區信二路24-3號1樓